Підручник Біологія 8 клас - В.І. Соболь - Абетка 2016 рік
ВСТУП
§ 2. ЖИТТЄДІЯЛЬНІСТЬ ОРГАНІЗМУ ЛЮДИНИ
Функція будує орган.
Ж. Б. Ламарк
Основні поняття й ключові терміни: ЖИТТЄДІЯЛЬНІСТЬ ОРГАНІЗМУ. КЛІТИНА. ТКАНИНИ.
Пригадайте! Зіставте визначення функцій з їхньою назвою.
А Зміна положення частин тіла або тіла в просторі |
1 Травлення |
Б Відтворення собі подібних, що веде до збільшення кількості особин |
2 Дихання |
В Подрібнення й розщеплення складних поживних речовин |
3 Транспорт речовин |
Г Перенесення речовин в організмі за допомогою певних рідин |
4 Виділення |
Д Видалення з організму продуктів обміну речовин |
5 Рух |
Е Надходження в організм кисню і виділення вуглекислого газу |
6 Опора |
Є Здійснення захисту та внутрішнього чи зовнішнього опертя |
7 Розмноження |
Ж Забезпечення впорядкованості життєвих процесів |
8 Регуляція процесів |
Вступна вправа
Американський професор К. Шмідт-Нієльсон у передмові до своєї книжки «Фізіологія тварин» писав: «Фізіологія є наукою про їжу й живлення, травлення, дихання, транспортування газів кров’ю, кровообіг і функції серця, виділення і функції нирок, про м’язи і рух тощо… Фізіологія не лише описує різні функції: вона також ставить запитання «чому?» і «як?»». Сформулюйте декілька запитань про життєві функції свого організму.
ЗМІСТ
Які основні функції й властивості організму людини?
Основними фізіологічними функціями (від лат.functio - здійснення, виконання), або життєвими функціями, як ви уже знаєте, є травлення, дихання, транспорт речовин, виділення, рух, опора, розмноження, регуляція процесів. Ці життєві прояви формують властивості організму, тобто його істотні ознаки будови, життєдіяльності й поведінки. Серед найважливіших властивостей організму людини виокремимо обмін речовин та перетворення енергії, гомеостаз, подразливість, розвиток, ріст та адаптивність. Сутність цих властивостей розкривається в наступних параграфах підручника.
Будь-яка із фізіологічних функцій та властивостей є результатом діяльності клітин, тканин, органів та фізіологічних систем. Наприклад, функцію транспорту речовин в організмі людини здійснює кровоносна система, що складається із серця та кровоносних судин.
Отже, ЖИТТЄДІЯЛЬНІСТЬ ОРГАНІЗМУ - це сукупність біологічних процесів, що забезпечують функціонування організму.
Чому клітина Є ОСНОВНОЮ функціональною одиницею організму людини?
Основою життєдіяльності організму є процеси, що відбуваються в клітинах. Ці процеси можуть бути біохімічними (наприклад, реакції синтезу чи розкладу речовин) й біофізичними (наприклад, взаємоперетворення видів енергії чи електричні явища).

Іл. 4. Різноманітність клітин людини: 1 - нейрон; 2 - епітеліальні клітини - епітеліоцити; 3 - міоцити; 4 - м'язове волокно; 5 - лейкоцит; 6 - еритроцит;
7 - кісткова клітина - остеоцит; 8 - чоловіча статева клітина - сперматозоон
Тому щоб зрозуміти, як працює клітина, потрібні знання фізики й хімії.
Процеси, що здійснюються клітинами, надзвичайно різноманітні, і саме вони визначають відмінності клітин у будові, розмірах, формі. Так, проведення електричних сигналів сприяло появі в нейронах коротких і довгих відростків, а здійснення активних рухів є причиною видовженої форми м’язових клітини та наявності скоротливих ниток. Розміри клітин коливаються від 4-5 мкм (у тромбоцитів) до 200 мкм (в яйцеклітині). За формою в організмі людини виділяють близько 200 різних типів клітин: кулясті яйцеклітини, видовжені міоцити, дископодібні еритроцити, зірчасті нейрони, плоскі епітеліоцити та ін.
Клітини організму людини побудовані зі структур, кожна з яких здійснює свої функції. Взаємодію з навколишнім середовищем забезпечує клітинна мембрана. Вона організовує транспорт речовин, енергії та інформації між клітинами, сприймає подразнення тощо. Внутрішній простір клітини заповнений цитоплазмою, що містить органели - сталі структури, що виконують життєво важливі процеси.
Так, мітохондрії здійснюють окиснення речовин і синтез АТФ, лізосоми - розщеплення складних поживних сполук. Основною функцією ендоплазматичної сітки є транспорт речовин усередині клітини. У синтезі білків беруть участь рибосоми. Перетворення речовин на гормони, ферменти та інші функціональні сполуки відбувається в апараті Гольджі. Клітинний центр бере участь у поділі клітин. Ядро є найважливішою частиною клітини, оскільки в ньому зосереджена генетична інформація всього організму, і воно регулює діяльність клітини.

Іл. 5. Будова клітини організму людини:
1 - мембрана; 2 - клітинний центр;
3 - лізосоми; 4 - мітохондрія; 5 - ядро;
6 - апарат Гольджі; 7 - ендоплазматична сітка; 8 - цитоплазма
Отже, КЛІТИНА - це функціональна одиниця організму, яка здійснює процеси, що є основою фізіологічних функцій та властивостей організму.
Що є причиною різноманітності тканин в організмі людини?
ТКАНИНА - сукупність клітин з міжклітинною речовиною, подібних за розташуванням, будовою та функціями. Тканини тварин і людини, на відміну від рослинних тканин, мають міжклітинну речовину та утворюються із зародкових листків.
Епітеліальні тканини розміщені на межі між зовнішнім та внутрішнім середовищем організму й здійснюють функції захисту, виділення й обміну речовин із середовищем. У зв’язку з межовим розташуванням ці тканини здатні до регенерації, побудовані зі щільно поєднаних клітин та незначної кількості міжклітинної речовини. Основними видами епітелію є покривні та залозисті. Епітелій може складатися з одного шару (одношаровий) або з кількох шарів (багатошаровий) клітин. Розрізняють епітелії за формою клітин (плоский, кубічний, циліндричний та ін.).
Сполучні тканини складаються з різних за формою клітин та розвинутої міжклітинної речовини. Ці тканини утворюють кістки, хрящі, входять до складу внутрішніх органів і з’єднують їх між собою. За функціями сполучні тканини бувають опорними (кісткова, хрящова), опорно-трофічними (пухка волокниста, жирова) та трофічними (кров, лімфа). Цим тканинам належить виняткова роль у відновлювальних процесах завдяки найвищій здатності до регенерації.
М’язові тканини побудовані з видовжених клітин зі скоротливими волоконцями - міофібрилами. Розрізняють непосмуговану й посмуговану м’язові тканини. Непосмугована (гладка) м’язова тканина утворює стінки судин, внутрішніх органів, забезпечує рухи кишечнику, сечовиділення та ін. Посмугована м’язова тканина поділяється на скелетну та серцеву. Скелетна посмугована тканина утворює скелетні м’язи, діафрагму, язик, а серцева посмугована м’язова тканина складає основу серцевого м’яза (міокарда).

Іл. 6. Тканини організму людини: 1 - епітеліальна; 2 - сполучна; 3 - м'язова; 4 - нервова
Нервова тканина складається з нейронів та клітин, що їх оточують й утворюють нейроглію. Нервова тканина формує нерви, нервові вузли, головний та спинний мозок. Вона забезпечує сприйняття подразнень, їх перетворення в імпульси, аналіз інформації та формування рефлексів - реакцій на впливи чинників середовища.
Отже, різноманітність тканин в організмі людини зумовлена їхнім розташуванням та функціональним призначенням.
ДІЯЛЬНІСТЬ
Навчаємося пізнавати
Лабораторне дослідження
ОЗНАЙОМЛЕННЯ З ПРЕПАРАТАМИ ТКАНИН ЛЮДИНИ
Мета: розвивати уміння виділяти особливості будови й життєдіяльності, за якими розпізнають типи тканин.
Обладнання: препарати тканин на малюнках чи фотографіях.
Хід роботи
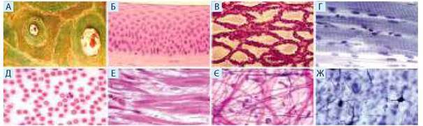
1. Розгляньте ілюстрації та зіставте названі види тканин з їхнім зображенням: 1 - багатошарова покривна тканина рогівки ока; 2 - кісткова тканина з остеонами; 3 - нейрони; 4 - пухка тканина з розвинутими волокнами; 5 - залозиста тканина щитоподібної залози з протоками; 6 - посмугована тканина скелетних м’язів; 7 - непосмугована тканина сечового міхура; 8 - кров.

2. Заповніть у робочому зошиті таблицю.
Особливості тканин організму ЛЮДИНИ
Препарат |
Особливості тканин |
Тип тканин |
А - … |
Біологія + Фізика
Організм людини - електрифікована система, у якій електричні процеси є основою діяльності багатьох органів. Початок вивчення біоелектричних явищ і заснування електрофізіології пов’язані з ім’ям італійського вченого Луїджі Гальвані (17371798). Він першим досліджував електричні явища при скороченні м’язів у жаби («тваринна електрика»). Цікаво, як виникають електричні явища в організмі людини?

РЕЗУЛЬТАТ
Оцінка |
Запитання ДЛЯ самоконтролю |
1 - 6 |
1. Що таке життєдіяльність організму? 2. Назвіть основні фізіологічні функції людини. 3. Що таке клітина? 4. Яка будова клітин людського організму? 5. Що таке тканина? 6. Назвіть типи тканин в організмі людини. |
7 - 9 |
7. Які основні функції й властивості організму людини? 8. Чому клітина є основною функціональною одиницею організму людини? 9. Яка причина різноманітності тканин в організмі людини? |
10 - 12 |
10. Доведіть роль клітин і тканин для життєдіяльності організму людини. |
Перша публікація: 01/01/2016
Останнє оновлення: 31/12/2023
Редакційна та навчальна адаптація: Даний матеріал зведено на основі першоджерела/оригінального тексту. Команда проєкту здійснила редакційне оглядове опрацювання, виправлення технічних неточностей, структурування розділів та адаптацію змісту до навчального формату.
Що було опрацьовано:
- усунення форматних дефектів (OCR-помилки, розриви структури, дефектні символи);
- редакційне упорядкування змісту;
- уніфікація термінів відповідно до академічних джерел;
- перевірка відповідності фактичних тверджень тексту першоджерела.
Усі згадки про автора, рік видання та походження первинного тексту збережено відповідно до джерела.